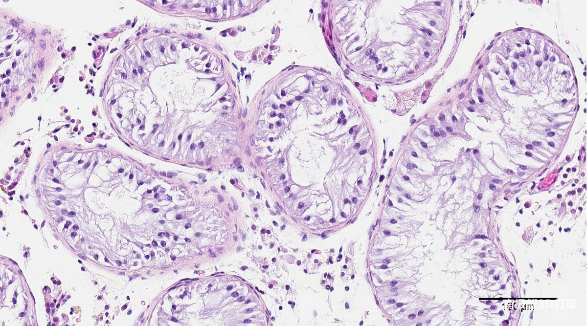
Researchers at the University of British Columbia (UBC) have completed the world’s first 3D analysis of human testicular cells
biology
Printing the experiments, the team hopes the technology can be applied to the treatment of male infertility in the future.
Infertility affects about 15 percent of couples, and in known cases, male factors are one of the main causes of infertility, said lead author Dr Ryan Flannigan, who led the study.
He said: “We based on human anatomy, these cells3D printinginto a very specific structure, which can play a very good role in promoting sperm development. If successful, this could lead to new fertility treatments for couples who currently have no other options.”

in male infertility
medicine
challenge

3D bioprintingtesticular cells

More details of the study can be seen in the paper titled “Using Clinically Derived Human Tissue to 3D Bioprint Personalized Testicular Tubules Forin-Vitro Culturing. First Report”.

The field of bioprinting research is indeed a field of surprises, and various forms of treatments are now being developed. Just this month, researchers from the Politecnico di Milano and Humanitas University used 3D printed neural tissue to study the causes of neurological diseases such as Pitt-Hopkins Syndrome (PTHS).Funded by Fondazione Cariplo for €250,000, the project involves 3D bioprinted
Blood vessel
neural tissue to create an in vitro model of the human cerebral cortex.
(responsible editor: admin)

0 Comments for “Scientists 3D bioprint human testis cells for the first time, advancing infertility research”