With the continuous improvement of the maturity of precision medicine-related technologies and the continuous improvement of the public’s acceptance of precision treatment, the medical industry has begun to enter a new stage of digital and intelligent transformation and upgrading. 3D digitization and3D printingThe technology has been widely used in the fields of oral restoration, customized prostheses, surgical guides, implants and other fields. Especially in the segmented medical scene of orthopedics, the role of 3D technology is becoming more and more important. It is slowly integrating into orthopedic preoperative planning, making surgical navigation and positioning templates, customizing personalized prostheses and internal plants, and customizing external fixation. Tools and other medical links.
Applications
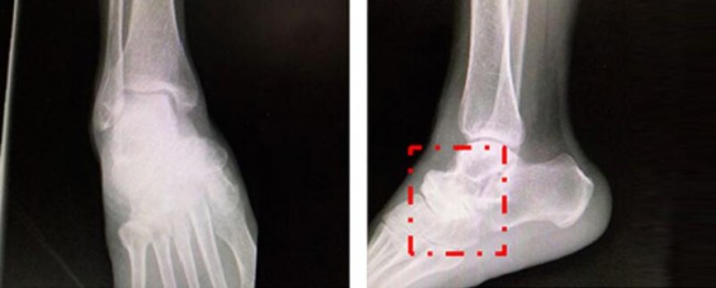
The First People’s Hospital of Huaiji County, Zhaoqing City, Guangdong Province, recently received a 55-year-old patient with a 10-year history of sprained right foot, Ms. Huang. The recurring symptoms of right foot back pain and limited walking function have brought obvious inconvenience to Ms. Huang’s health and daily life.
Traditional imaging examinations such as X-ray, CT, MR were performed by Huaiji County People’s Hospital, and the preliminary diagnosis was: 1. Osteonecrosis of the right scaphoid. 2. Osteoarthritis of the right talar navicular joint. 3. Osteoarthritis of the right heel cuboid joint. The right talus navicular joint and calcanecubic joint fusion are planned.
Picture source: Professor Ding Huanwen’s team
In response to the patient’s condition, a three-dimensional design surgical treatment plan with the help of 3D technology was developed by Professor Ding Huanwen, National Human Tissue Functional Reconstruction Engineering Technology Research Center, Human Anatomy Department of South China University of Technology School of Medicine, Second Affiliated Hospital and Guangzhou First People’s Hospital Orthopedics , Department of Orthopedics, Huaiji County People’s Hospital, Treeant Intelligent Digital Precision Surgery Cloud Service System, and Shining 3D jointly participated in the design and implementation.
Professor Ding Huanwen’s team combined the patient’s symptoms and signs to clinically diagnose Muller-Weiss disease. Confirm that the patient’s diseased part is attached to the transverse joint through 3D precise positioning. Through consultation and discussion, it was decided to carry out the operation of “medial foot column extension, talus navicular joint fusion, and talar cuboid bone fusion fixation” for the patient.
3D printingOrthopedic surgery guide plate is designed according to the needs of the operation and adopts computer-aided design,3D printingA personalized surgical instrument prepared to accurately locate the position, direction and depth of the point and line during the operation, and assist in the precise establishment of the orifice, cross section, spatial distance, mutual angular relationship and other complex spatial structures during the operation.3D printingThe use of positioning guides will be more precise than relying solely on doctor experience and hand-held tool operations.
The team will use in this surgical plan design3D printingThe positioning guide plate assists the doctor in accurately positioning the screw entry point and direction, fusion and fixation of the talar navicular joint of the patient’s foot, and the fusion and fixation of the cuboid bone and the talus bone. The surgical guide plate assists the implantation of the internal fixation screw to be minimally invasive, and the guide plate guides the accurate exposure of the navicular joint, reducing surgical trauma. In addition, the guide plate guides the precise nail placement also reduces the number of times the “C” arm X-ray machine is used during the operation, which greatly reduces the X-ray contamination of patients and medical staff.
Aiming at the patient’s affected part, on the basis of the 3D model of the foot, the 3D model of the guide plate was customized and designed with CAD design software, and used3D printingThe equipment prints out the guide plate and the foot model to be used for preoperative simulation and surgical use.
Preoperative simulation (guide plate: nylon printing; foot model: Stratasys J750 3D printing)
Three-dimensional scanning auxiliary guide plate positioning
Compared with traditional methods, guide plate positioning is more conducive to precise positioning during surgery. However, if there is a deviation in the wearing position of the guide plate, it will have a great influence on the success of the operation. How to make the positioning tool more accurate is the task of EinScan Pro 2X Plus this time.
Before surgery, Professor Ding Huanwen’s team will3D printingThe positioning guide is worn on the right foot of the patient, and then the EinScan Pro 2X Plus is used for multi-function handheld3D scanninginstrumentScan the surgical site where the guide is worn. Compare the scanned data with the original reconstructed data, and reconfirm whether the position of the guide plate is accurate.
During the operation, Professor Ding Huanwen’s team will disinfect the3D printingThe positioning guide is worn on the back of the patient’s right foot again, and then the EinScan Pro 2X Plus is used as a multifunctional handheld3D scanninginstrumentScan the patient’s calf and foot. Understand whether there is any deviation in the positioning of the surgical guide, guide the adjustment of the position, so that the surgical guide is placed accurately, and then guide the precise placement of the nail and the talon navicular joint incision and fusion. The operation was successfully completed with the aid of new technology.
With the deep integration of 3D technology and clinical medicine, the virtual applied anatomy research team and orthopedics team led by Professor Ding Huanwen are at the forefront of the digital orthopedics field. The precise repair and reconstruction programs carried out are in trauma, joints, spine, tumors and Deformity correction and other aspects are quite successful.
In recent years, various domestic provincial and municipal government departments have gradually promoted3D printingPolicies for medical service items.Among them, among the 250 new medical projects (3) in Guangdong Province in 2019, about 20 are related to three-dimensional scanning, computer design and3D printingRelated.
Image source: Guangdong Provincial Medical Security Bureau official website
In July of this year, the Guangdong Provincial Medical Security Bureau issued the “Guangdong Provincial Medical Security Bureau’s Public Consultation on Certain Medical Service Price Items” publicity project, individualized 3D model reconstruction, individualized 3D model preparation, and individualized 3D surgical guide preparation , Personalized 3D visualization surgical model four medical treatments3D printingThe cost is included in the market-adjusted medical service price item, and may be included in the medical insurance system in the future, which will bring more benefits to patients.
(Editor in charge: admin)




0 Comments for “Orthopedic diagnosis and treatment has entered the era of precision medicine, and 3D technology “escorts” orthopedic surgery”