
On November 30, 2020, French startup CTIBiotech launched two bio-printed full skin models for skin care.This company is committed to providing researchers with the best tools to create products that are most compatible with humans, and has demonstrated skin models for screening drugs and ingredients suitable for normal and inflamed skin, and3D printingThe sebaceous gland model is used for oil secretion screening and burn research.
Developed by CTIBiotech3D bioprintingTechnology is expected to enable researchers to create a large number of human tissue models and advance biomedical research. In addition, in the field of medicine and cosmetics, regulations and consumer requirements for skin products have increased, so fast, reliable and safe testing is the top priority. CTIBiotech’s latest innovations in bioprinting are expected to help accelerate the creation of skin models, which have been considered a difficult task in the past.
CTIBiotech’s two new bio-printed full skin models were unveiled at the 31st International Federation of Cosmetic Chemists (IFSCC) conference in Japan, which was also held online due to the impact of the COVID-19 virus epidemic. CTIBiotech has been committed to improving bioprinting expertise to produce new models suitable for skin care applications. It has a history of 5 years and can meet the repeated testing needs to evaluate skin beauty products, medical and beauty equipment or medical devices. The efficacy and safety of the ingredients contained in it. In addition, they are also preparing clinical trials for skin regeneration and burns.

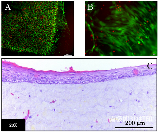
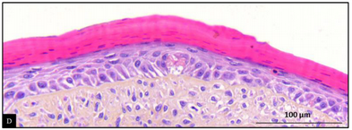
Researchers from CTIBiotech and Beiersdorf, a German dermatology research laboratory, developed an innovative in vitro whole skin model, including sebaceous glands, using bioprinting technology to study lipid production and high-throughput screening of active ingredients. These innovative, cost-effective, and useful models may become powerful tools for the development of advanced cosmetics and dermatological products in the near future.
The sebaceous glands secrete mixed lipids to lubricate the skin, making it one of the primary defense mechanisms against external aggressions. It also helps to regulate the skin microbiome and has antioxidant properties and anti-aging properties. Nico Forraz, co-founder and CEO of CTIBiotech, stated that Beiersdorf needs technology that can quickly screen new products or ingredients, but at the same time it can be advanced and complex enough to help researchers study new products that can promote or reduce sebum secretion. product.

Fast and accurate human sebum screening is very important, especially due to the increase in global pollution and the rising incidence of allergic skin. CTIBiotech has designed a rapid process to collect skin samples from donors for culturing cell populations. Then, by adjusting the bioprinting strategy of human cells and designing printed skin models on the macro and micro scales, the researchers successfully created a multi-glandular micro-seaweed whole skin model, including epidermis, dermis and sebaceous glands for rapid screening of ingredients and drug.
Screening on this scale enables faster selection of suitable products and product concentrations useful for skin treatment. Use CAD software to design the 3D model, and then use Cellink’s Bio X 3D system for bioprinting in a 12-well plate. After that, the printed model went through a 21-day maturity period. CTIBiotech is able to3D printingProduce more than one hundred reproducible skin models. They claim that 3D models can provide more pathological data and real-time data to illustrate the impact of certain ingredients on the skin, so that they can better and more targeted selection of cosmetics and medicines for customers. In fact, Forraz stated that they are actively developing sebaceous gland models for acne and burns.
Forraz suggested: “There are very few effective drugs for acne. Many pharmaceutical companies hope to launch anti-acne programs. Similarly, drugs that can help burn patients to moisturize are also needed. Any drug that needs to solve this situation can be based on our biological Print the skin model as a model.”

The second skin model developed by CTIBiotech is a bioprinted immune mature macrophage whole skin in vitro test system for screening cosmetic ingredients that reduce or prevent inflammation. The reason why macrophages are selected for research is that macrophages are extremely important in the immune dynamics of the skin. These specialized cells are the body’s first line of defense and can detect and destroy harmful foreign organisms such as bacteria.
This time, CTIBiotech cooperated with French cosmetics additive manufacturer BASF Care Creative to build a model. They hope to have a reliable model for specific skin care ingredients to reduce skin inflammation. Forraz said that companies like BASF need to predict the efficacy and safety of skin care products as early as possible. There is an increasing demand for solutions to prevent and treat non-fatal skin diseases, but the supply of suitable and affordable screening systems has not kept up. CTIBiotech has detected that due to safety considerations and regulations, the demand for more complex in vitro skin models and in vitro tests is increasing.

In order to create an immune skin model, the bioprinting model was designed and sliced on the computer with SketchUp and Slic3r software in advance to generate G-code files.Then, the expanded cells were mixed with bio-ink suitable for skin development, and then performed in a 12-well plate with Cellink’s Bio X equipment3D printing.Within two hours3D printingMore than one hundred identical skin models have been released.
CTIBiotech is currently commercializing them. BASF and Beiersdorf are the first two companies to use these models, but Forraz confirmed that they are now testing bioprinting models for more companies and even clinical hospitals in Paris.
“Our idea is to bioprint a human tissue as close to the human condition as possible for use in cosmetics, dermatology and hospital therapeutics. We are interested in continuing to develop our skin models and cancer models, but in the long run, we have In seeking to develop bioprinted models of scalp skin and skin pigmentation, even trying to integrate neurons into our skin models to create sensitive skin models (but this is still in progress).” Forraz continued.

Thanks to bioprinting technology, CTIBiotech is transforming its business by automating innovations in the development and production process of human tissue models. These new models are produced in multiple copies, which are biologically identical to the patient’s own tissues, and will become a powerful pedal for the research and development of new anti-cancer drugs or more effective skin care products.
(Editor in charge: admin)

0 Comments for “French CTIBiotech launches two 3D printed skin models for commercial applications”